Wie Zahnaufhellung funktioniert und wirkt
Man wird Sie auf Ihre schönen Zähne ansprechen!
Viele Menschen wünschen sich weiße Zähne und das hat seinen Grund: Es macht Spaß, sie zu zeigen. Helle Zähne lassen einen jugendlich und vital erscheinen. Wer schöne weiße Zähne hat, wirkt anziehend. Das Beste daran ist: Fast jeder kann innerhalb kürzester Zeit solche weißen Zähne haben.
Wie sicher professionelles Bleaching beim Zahnarzt ist, wie es funktioniert, wie viel heller die Zähne werden und wie lange sie es bleiben, erfahren Sie hier:
.png)
Attraktiv mit weißen Zähnen
Welche Bleaching-Methoden gibt es?
Prinzipiell gibt es zwei Möglichkeiten: Das sogenannte Home-Bleaching und das sog. Power-Bleaching in der Zahnarzt-Praxis.
-
Beim Home-Bleaching werden vom Zahnarzt dünne flexible Schienen aus einem transparenten Kunststoff hergestellt, die genau auf Ihre Zähne passen.
In diese füllen Sie zu Hause das sog. Bleaching-Gel, das Sie vom Zahnarzt bekommen. Dann stülpen Sie die Schiene über Ihre Zähne und lassen das Gel einwirken. Die Tragedauer ist abhängig von der Konzentration des Gels: Ca. 1 - 4 Stunden pro Tag für ca. 2 - 3 Wochen. Danach sind Ihre Zähne sichtbar heller. (Bild von der Schiene von der PDF-Datei einfügen)

Beim Power-Bleaching in der Zahnarztpraxis können Ihre Zähne in der Regel in nur 1 - 2 Stunden deutlich aufgehellt werden. Dabei wird ein hoch konzentriertes Bleaching-Gel auf die Zähne aufgetragen, das unter Kontrolle durch den Zahnarzt oder seine Mitarbeiter die Zähne aufhellt. Die Wirkung des Gels wird durch die Anwendung spezieller Lichtlampen verstärkt. Wenn Sie die Praxis wieder verlassen, können Sie sich an sichtbar helleren Zähnen freuen!
.png)
Auftagen des Bleachinggels
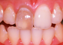
Aufhellung einzelner Zähne
Einzelne dunkle Zähne sind meistens "tote" Zähne, deren Nerv abgestorben ist. Um einen solchen Zahn aufzuhellen, wird er von innen her geöffnet. Da er keinen Nerv mehr hat, spüren Sie auch nichts.
Zur Aufhellung wird Bleaching-Gel in den Zahn eingefüllt und die Öffnung provisorisch verschlossen. Nach ein paar Tagen wird das Gel erneuert. So lange, bis der Zahn wieder seine ursprüngliche Helligkeit hat
.png)
Einzelner dunkler Zahn mit abgestorbenem Zahnnerv
Danach sieht ihm niemand mehr seine "dunkle Vergangenheit" an und Sie können wieder unbefangen lachen.
Ist die Aufhellung einzelner Zähne sicher?
Ja, wenn es der Zahnarzt macht! Wir schützen den Zahn während der Aufhellung durch besondere Maßnahmen und führen regelmäßige Kontrollen durch. Sie dürfen sich also sicher fühlen.
Wie werden die Zähne heller durch Bleaching?
Das hängt von verschiedenen Faktoren ab. Im Schnitt werden Sie bis um 7 bis 9 Farbstufen heller. Das messen wir in der Praxis mit einer sog. Farbskala (siehe Foto).
Die meisten Menschen haben eine durchschnittliche Zahnfarbe, die auf der Skala mit A3 bezeichnet wird. Mit Bleaching kann die Farbe B1 oder noch heller erzielt werden.
.png)
Anziehend weiße Zähne mit Bleaching
Schadet Bleaching den Zähnen nicht?
Wenn es unter Aufsicht und Kontrolle des Zahnarztes gemacht wird, ist Bleaching sehr sicher. Professionelle Aufhellungsmittel härten sogar den Zahnschmelz. Durch die Verwendung pH-neutraler Bleaching-Materialien wird der Zahn geschützt.
Anders kann es bei Mitteln aus dem Drogeriemarkt oder dem Internet sein. Hier ist oft die Zusammensetzung nicht bekannt. Wenn Zähne Löcher oder Risse haben, können diese Mittel zu Zahnschäden führen.
Fazit: Wenn Sie Ihre Zähne beim Zahnarzt aufhellen lassen, können Sie sich sicher fühlen und Sie bekommen sichtbare Ergebnisse: Deutlich hellere Zähne!
Wenn Sie beim Bleaching auf Nummer sicher gehen wollen ...
... und wenn Sie deutlich weißere Zähne haben wollen, sollten Sie die Aufhellung in der Zahnarztpraxis durchführen lassen. Dort werden geprüfte und pH-neutrale Aufhellungs-Materialien verwendet, die die Zähne schützen und stärken.
Der Zahnarzt kontrolliert die Zähne zudem vor dem Bleaching auf eventuelle Schäden, um jedes Risiko auszuschließen. Und er überwacht zusammen mit seinem Team die Aufhellung Ihrer Zähne.
So können Sie sicher sein, dass die Aufhellung Ihrer Zähne in guten Händen ist. Wenn Sie schon in wenigen Tagen weißere Zähne haben wollen: Vereinbaren Sie Ihren persönlichen Beratungstermin und lassen Sie sich zeigen, welche Aufhellungs-Ergebnisse möglich sind.
Wir beraten Sie gerne!






